Ebstein’s anomaly with Severe Right Ventricular Dysfunction: Echocardiographic features
Akhil Mehrotra*1, Mohammad Shaban2 and Faiz Illahi Siddiqui2
1Chief, Pediatric and Adult Cardiology, Prakash Heart Station, Nirala Nagar, Lucknow, UP, India
2Cardiac Technician, Prakash Heart Station, Nirala Nagar, Lucknow, UP, India
*Corresponding author
*Akhil Mehrotra, Chief, Pediatric and Adult Cardiology, Prakash Heart Station, Nirala Nagar, Lucknow, UP, India
Figure 1: Transthoracic echocardiography. (A) Apical 4C view shows apically displaced small septal leaflet and large, sail like and redundant anterior leaflet of TV. FRV, functional right ventricle; TV, tricuspid valve; AML, anterior mitral leaflet; LV, left ventricle; mv, mitral valve.
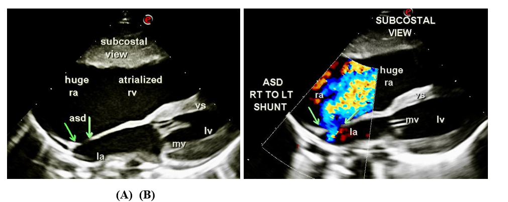
- Moderate ostium secundum ASD of size 4.5 mm with right to left shunt (Figure 2).
Figure 2: (A) Moderate size ostium secundum ASD detected in the subcostal view; (B) Right to left shunt demonstrated across ASD. ra, right atrium; rv, right ventricle; lv, left ventricle; mv, mitral valve; la, left atrium.
- Severe TR with a jet area of 9.67 sqcm, occupying nearly whole of RA with a TR velocity of 2.6 m/sec (Figure 3).
Figure 3: On color flow mapping, a severe TR jet with an area of 8.54 sqcm is clearly demarcated in the apical 4C view; TR, tricuspid regurgitation; RV, right ventricle; RA, right atrium; VS, ventricular septum; LV, left ventricle.
Severely reduced FRV EF (20 %) with normal LV dimension and LVEF (70 %).
Subsequently, the patient’s attendants were advised immediate surgical correction of EA and the infant was referred to a tertiary care pediatric cardiovascular institute.
- Talner CN (1998) Report of the New England Regional Infant Cardiac Program, by Donald C. Fyler, MD, Pediatrics (1980) 65(suppl):375-461. Pediatrics. 102: 258–259.
- Kumar TKS (2021) Ebstein's anomaly in the neonate. Indian J Thorac Cardiovasc Surg 3:17-25.
- Watson H (1974) Natural history of Ebstein's anomaly of tricus-pid valve in childhood and adolescence: an international cooperative study of 505 cases. Br Heart J 36: 417-427.
- Booker OJ, Nanda NC (2015) Echocardiographic assessment of Ebstein's anomaly. Echocardiography 32: S177-S188.
- Warnes CA, Williams RG, Bashore TM, Child JS (2008) ACC/AHA 2008 guidelines for the management of adults with congenital heart disease: a report of the American College of Cardiology/American Heart Association Task Force on Practice Guidelines (Writing Committee to Develop Guidelines on the Management of Adults with Congenital Heart Disease). Developed in Collaboration with the American Society of Echocardiography, Heart Rhythm Society, International Society for Adult Congenital Heart Disease, Society for Cardiovascular Angiography and Interve J Am Coll kangaro Cardiol 52: e143-e263.



