PRESENTATION OF JUVENILE METACHROMATIC LEUKODYSTROPHY – A RARE CASE REPORT
Niharika Khullar *
Department of Pediatrics, Marengo Asia Hospitals, Faridabad, Haryana, India
*Corresponding author
*Niharika Khullar, Department of Pediatrics, Marengo Asia Hospitals, Faridabad, Haryana, India
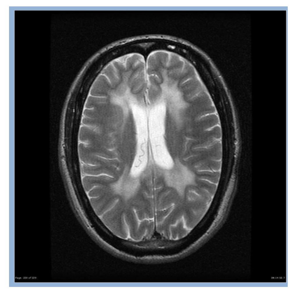
Figure 1
- Patil SA, Maegawa GH (2013) Developing therapeutic approaches for metachromatic leukodystrophy. Drug Des Devel Ther 7:729–745.
- Gieselmann V (2003) Metachromatic leukodystrophy: recent research developments. J Child Neurol. 18:591–594.
- Aqarwal A, Shipman PJ (2013) Gallbladder polyposis in metachromatic leukodystrophy. Pediatr Radiol 43:631–633.
- Kliegman RM, Stanton BF, St Geme JW, Schor NF, Behrman RE (2011) Neurodegenerative disorders of childhood. In: Kwon JM, editor. Nelson Textbook of Pediatrics. 19th ed. Philadelphia: WB Saunders; pp. 2072
- Luzi P, Rafi MA, Rao HZ, Wenger DA (2013) Sixteen novel mutations in the arylsulfatase A gene causing metachromatic leukodystrophy. Gene 530: 323–328.

