Respiratory syncytial virus infection in patients with CHARGE syndrome

Kawashima H *1,2, Inoue A 1, Morichi S1,Nishimata S1,Tsutsumi N1 and Kashiwagi Y1

1Department of pediatrics and Adolescent, Tokyo Medical University, Tokyo, Japan
2Department of pediatrics, Kohseichuo General Hospital, Tokyo, Japan

*Corresponding author

*Hisashi Kawashima, Department of Pediatrics Kohseichuo General Hospital, 1-11-7 Mita, Meguro-ku, Tokyo 153-8581, Japan

Abstract

We report a case of respiratory syncytial virus (RSV)-associated rhabdomyolysis and encephalopathy in a patient with CHARGE syndrome who had secondary carnitine deficiency. The presence of lipid droplets and loss of mitochondrial cristae in the patient’s liver tissue indicated mitochondrial dysfunction. Additionally, we describe another CHARGE syndrome case in which the patient recovered uneventfully from RSV infection under L-carnitine supplementation, despite having similar hypertransaminasemia as the first patient. These findings suggest that carnitine deficiency may increase the severity of RSV infection, particularly in patients with CHARGE syndrome.

Keywords: CHARGE syndrome, mitochondria, encephalopathy, CK, tube feeding

Abbreviations: RSV: Respiratory Syncytial Virus; PDA: Patent Ductus Arteriosus; SD: Standard Deviation; CK: Creatine Kinase; ALP: Alkaline Phosphatase; CRP: C-reactive Protein; PT-INR: International Normalized Ratio of Prothrombin Time; PTT: Partial Thromboplastin Time; FDP: Fibrin/Fibrinogen Degradation Products; CPAP: Continuous Positive Airway Pressure.

Introduction

Liver dysfunction frequently occurs in patients with various viral infections, but is rarely fulminant or severe. Even when a viral infection is detected, distinguishing viral-induced liver injury from secondary liver dysfunction owing to metabolic abnormalities, heart failure, or other conditions is challenging. The majority of children become infected with respiratory syncytial virus (RSV) for the first time by the age of 2 years, of whom 30% to 40% develop lower respiratory tract infections, and 1% to 3% develop severe symptoms [1]. A study showed that transaminase levels were increased in 19% of children receiving mechanical ventilation for RSV-associated bronchiolitis, which included those without underlying conditions [2]. Reports of hepatitis and hypertransaminasemia associated with RSV infection date back to the time when Reye’s syndrome was first described [3]. However, despite these reports, few studies to date have pathologically confirmed RSV as the direct cause of hepatitis. In this study, we describe two cases of CHARGE syndrome complicated by RSV infection. One patient developed RSV-associated rhabdomyolysis and encephalopathy with extreme hypertransaminasemia and secondary carnitine deficiency, and liver pathology suggesting mitochondrial dysfunction. Another patient, who was receiving ongoing L-carnitine therapy, recovered uneventfully despite similar increases in transaminase levels.

Case 1 & Case 2

Case 1
The patient was born at 40 weeks of gestation via a normal spontaneous delivery (weight: 2,763 g at 40 weeks). His family history was unremarkable. No abnormalities were detected in his metabolic screening test at birth. PDA (patent ductus arteriosus) ligation and aortic elevation were performed on the 14th day after birth. Thereafter, the patient was managed under artificial respiration, and a tracheostomy was performed at 4 months of age because of chronic respiratory failure. Tube feeding using elemental diet (Elental®) was also performed because of insufficient feeding. He had ear deformities and specific palm characteristics. He also had low-set ears, micrognathia, left postnasal closure, and micropenis. He had no underlying cardiac abnormalities associated with CHARGE syndrome other than the treated PDA. Quadriplegia was present since the neonatal period. At the age of 1 year, genetic testing identified a CHD7 gene mutation by direct PCR, and he was diagnosed as having CHARGE syndrome. He had no thymic hypoplasia or infections suggesting impaired T-cell function. He had no past history of recurrent OMA or pneumonia.

When the patient was 3-years old, he developed a fever of 39 °C. Respiratory disturbance became prominent, and his nasal discharge was positive for the RSV antigen. On admission, his height was 68 cm (−8.1 SD), weight was 6.6 kg (−4.6 SD), and body temperature was 40.8 °C. His blood pressure was 94/42 mmHg, and respiratory rate was 42/minute. His SpO2 was 88% (O2 per liter). His breath sounds showed inspiratory and expiratory stridor. His heart sounds were intact, and hepatosplenomegaly was not observed. He showed unconsciousness (Japan Coma Scale (JCS) 200), mild hypersensitivity of deep reflexes, and intermittent involuntary movements.

His white blood cell count was 12,200/μL (neutrophils: 88.7%; lymphocytes: 6.9%). Hemogloblin was 8.9 g/dL, and platelet count was 125×103/μL. Aspartate aminotransferase (AST), alanine aminotransferase (ALT), and γ-GTP levels were 5,482 IU/L (normal range: 13–30), 978 IU/L (normal range: 0–42), and 118 IU/L (normal range: 13–64), respectively. His creatine kinase (CK) level was high at 372.3 IU/L (normal range: 59–248). Total bilirubin was 0.86 mg/dL (normal range: 0.4–1.5), whereas ALP was 831 U/L. Albumin was 3.9 g/dL. BUN and creatinine were 50.8 mg/dL (normal range: 8–20) and 1.2 mg/dL (normal range: 0.65–1.07), respectively. CRP was high at 5.8 mg/dL (normal range: 0.00–0.14), and IL-6 was 320 pg/mL (normal range: 0.0–6.0). Clotting time was abnormal (PT-INR: 2.27; PTT 36 sec.). D-dimer and FDP (fibrin/fibrinogen degradation products) were within the normal range. Ammonia was normal at 42 μg/dL (normal range: 15–45). Urinalysis showed hematuria and proteinuria with high myoglobin levels (more than 3,000 ng/mL). Furthermore, transient loss of consciousness, hepatic and renal dysfunction, and coagulation abnormalities were observed. The patient was diagnosed as having rhabdomyolysis associated with RSV infection.

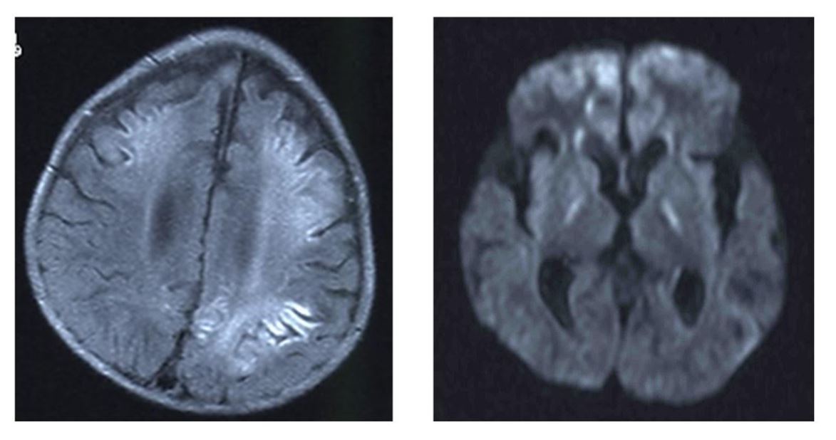
Cerebrospinal fluid (CSF) analysis yielded normal results, including IL-6 and viral culture. However, LAMP (Loop-mediated Isothermal Amplification) for RSV in the CSF was positive for RSV type A. Conventional bacterial culture was negative. Lactic acid and pyruvic acid were normal in the CSF and blood. Analysis of organic acids in the urine showed the increased excretion of adipate, 3-OH-sebacate, and 3-OH-dodecanedioate. He had secondary carnitine deficiency; his free carnitine was 10.92 μM (standard value: 45.6 ± 11.0 μM) and acylcarnitine was 3.93 μM (reference value: 16.2 ± 7.6 μM). Brain MRI displayed a high signal, which was compatible with the encephalopathy observed by diffusion-weighted imaging (DWI) (Figure 1).

Apparent high signal images are shown in diffusion-weighted MRI image. (left: FLAIRimage), (right: diffusion-weighted MRI).

Based on his unconsciousness, DWI-MRI findings, and laboratory data, the patient was diagnosed as having metabolic encephalopathy. Intensive treatment with gamma-globulin (2.5 g/kg IV for 1 day), methylprednisolone (1 mg/kg 3 times/day IV for 6 days and tapering for 5 days), and L-carnitine (50 mg/kg IV for 14 days) was performed, and his symptoms gradually improved. Transaminase and CK levels were normalized within 5 days. He showed spastic paralysis and displayed hypoperfusion of the brain on single-photon emission computed tomography. His spastic paralysis has remained unchanged for 5 years.

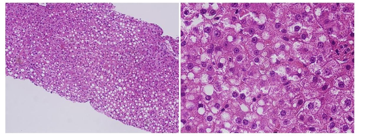
Liver analysis was performed 8 days after admission. Liver pathology revealed mild infiltration of inflammatory cells. There was neither fibrosis nor cholestasis. Prominent accumulation of lipid droplets of various sizes was observed (Figure 2).

Prominent accumulation of lipid droplets of varying sizes were observed. In the 2,500 X electron microscopy images of the liver, lipid droplets of various sizes were distributed almost uniformly within the cytoplasm of liver cells, together with the almost complete disappearance of intracellular structures (Figure 3).

Intracellular structures (cristae) of the mitochondria were almost completely absent.

Case 2
A 5-year-old girl with CHARGE syndrome, characterized by PDA, right-sided aortic arch with aberrant origin of the left subclavian artery, mitral valve regurgitation, bicuspid aortic valve, left peripheral pulmonary artery stenosis, patent foramen ovale, right thumb polydactyly, bilateral microtia, left low-set auricle, bilateral profound hearing loss, and type 1 laryngomalacia, experienced recurrent severe hypoglycemia triggered by infections and surgical stress. At 2-years old, she developed bronchial asthma exacerbation and hypoglycemia (23 mg/dL), and at 3-years old with COVID-19 infection and hypoglycemia (27 mg/dL), and later that year she developed acute encephalopathy and right hemiparesis owing to profound postoperative hypoglycemia (< 20 mg/dL) following laparoscopic fundoplication. The patient’s new K-type developmental quotient (DQ) was 27 (motor: 28; cognitive: 29; language: 19). Secondary carnitine deficiency was identified and treated with L-carnitine supplementation, after which at 4-years old she experienced seizures with hypoglycemia (33 mg/dL) during acute gastroenteritis, which prompted the initiation of cornstarch therapy.

At 5-years old, she was admitted with a fever and respiratory distress owing to RSV infection (confirmed by antigen testing), requiring CPAP (Continuous Positive Airway Pressure ) support. During this time, hypoglycemia did not recur, presumably owing to the continuous L-carnitine and cornstarch therapy, although liver dysfunction (increased AST, ALT, and γ-GTP levels) was observed. She subsequently recovered without any complications.

Discussion

It has been reported that children without any underlying diseases who undergo mechanical ventilation for bronchiolitis caused by RSV infection have increased transaminase levels in 19% [2]. In this previous study, AST was increased the most, and ALT was less increased, and increased mortality was associated with longer duration of respiratory management and longer hospital stays. Another retrospective review of the medical records of 161 hospitalized children with acute bronchiolitis also demonstrated that 14 of the children (8.7%) had increased ALT levels. Fifteen patients (32.6%) had high prothrombin times, 3 patients (6.5%) had greatly increased partial thromboplastin times, and 5 patients (21.7%) had hepatomegaly. In addition, a high ALT level was significantly associated with a long hospital stay and positive urine culture [4]. These studies demonstrated that an increase in transaminase level is often observed in patients with severe disease, which is assumed to be caused by a combination of infections, heart failure, and overload of respiratory muscle, rather than by the hepatitis itself. However, owing to the presence of RSV in the liver tissue and successful viral culture in some cases, RSV hepatitis can be diagnosed in patients [5].

In this study, we reported RSV-associated metabolic encephalopathy in a patient with CHARGE syndrome, who had extreme hypertransaminasemia and carnitine deficiency (case 1). CHARGE syndrome has been reported to be associated with T-cell immunodeficiency, from the results of lymphocyte subset analysis [6]. Therefore, virus load is assumed to be increased in patients with CHARGE syndrome. His pathological findings revealed mitochondrial dysfunction. Recently, mitochondrial dysfunction has been reported to occur in the livers of patients with RSV infection. Hu et al. reported the staged redistribution of mitochondria in RSV-infected cells, resulting in compromised respiratory activities and increased reactive oxygen species generation. Mitochondrial complex I is the key to this effect on host cells, and mitochondrial complex I subunit knock-out cells show increased levels of RSV production [7]. The 2 nonstructural (NS) proteins, NS1 and NS2, of RSV suppress the type I interferon-mediated innate immunity of host cells by degrading or inhibiting multiple cellular factors. Goswami et al. provided evidence for the existence of a large and heterogeneous degradative complex assembled by the NS protein. They demonstrated that the majority of NS proteins and their substrates inside a cell translocated to the mitochondria upon infection [8]. Fujiogi et al. reported the association between respiratory viruses and the systemic metabolism of the host. Among 63 infants with bronchiolitis caused by RSV infection, they found significant differences in 30 discriminatory metabolites, which were predominantly metabolites of lipid metabolism pathways (e.g., sphingolipids and carnitines) [9]. They reported that higher lignoceroylcarnitine intensity is associated with a significantly lower risk of positive pressure ventilation use (OR 0.20; 95% CI: 0.08–0.48; P < 0.001).

Hu et al. aimed to clarify the effects of RSV on host mitochondria, such as RSV-induced microtubule/dynein-dependent mitochondrial perinuclear clustering, and translocation towards the microtubule-organizing center, using high-resolution quantitative imaging, bioenergetics measurements, and mitochondrial membrane potential- and redox-sensitive dyes [10]. Their study showed that RSV infection is involved in impaired mitochondrial respiration, and the loss of mitochondrial membrane potential. In this study, the patient of case 1 improved gradually, and his AST, ALT, CK, and carnitine levels normalized upon L-carnitine treatment. Case 2 involved a CHARGE syndrome patient who was regularly receiving L-carnitine supplementation. Despite presenting with similar increases in transaminase levels as patient 1, this patient recovered uneventfully without any sequelae. These observations support the hypothesis that carnitine supplementation may mitigate RSV-induced hepatic and metabolic dysfunction, potentially by preserving mitochondrial function and reducing oxidative stress. Many studies have reported the use of L-carnitine when diseases involve mitochondrial dysfunction. According to the report by Abbasnezhad et al., a systematic review and meta-analysis demonstrated that L-carnitine supplementation significantly reduced blood levels of ammonia, bilirubin, AST, BUN, and Cr in hepatic encephalopathy patients [11]. In the studies of the hepatoprotective effects of L-carnitine against lead acetate-induced hepatocellular injury using Wistar rats, L-carnitine caused a decrease in hepatic damage with minimal vascular alterations in the central vein. L-carnitine has also been reported to show significant protective effects against hepatocellular apoptosis and inflammation induced by Pb acetate[12].

An alternative explanation for the differences observed between the 2 cases may involve the thermolability of the protein product of CHD7, which is a causative gene of CHARGE syndrome. CHD7 encodes a DNA helicase, which may be thermolabile and vulnerable to stress-induced dysfunction. It is conceivable that febrile illness exacerbates mitochondrial impairment in CHARGE syndrome patients, making them more susceptible to RSV-induced metabolic derangements. A limitation of this study is that we were unable to establish a definitive association between carnitine deficiency and RSV severity owing to the small sample size. Further research is hence needed to evaluate whether the association between CHARGE syndrome and low carnitine levels is confounded by other risk factors.

Figure 1: T2 and diffusion-weighted brain MRI
Apparent high signal images are shown in diffusion-weighted MRI image. (left: FLAIR image), (right: diffusion-weighted MRI).

Figure 2: Hematoxylin-eosin (HE) staining of liver tissue
Prominent accumulation of lipid droplets of varying sizes were observed.

Figure 3: Electron microscopy images of the liver
Intracellular structures (cristae) of the mitochondria were almost completely absent.

Conclusion

Considering the crucial role of carnitine in mitochondrial energy metabolism, routine carnitine level assessments in CHARGE syndrome patients, particularly when they have viral infections, may be beneficial in preventing severe complications. In the future, research should be conducted aiming to elucidate the association between carnitine deficiency and RSV severity, and to evaluate the therapeutic potential of L-carnitine supplementation in these patients.

Acknowledgments: None

Author contributions
HK designed the study; AI, SN, NT, and YK performed the experiments, and collected and analyzed the data; HK wrote the manuscript; and SN and YK provided technical support and conceptual advice. All authors read and approved the final version of the manuscript.

Funding
This work was supported in part by a Grant-in-Aid from the Japan Agency for Medical Research and Development (AMED); grant no. 20fk0108119h0001 to HK.

 Institutional Review Board statement
This study was conducted according to the guidelines of the Declaration of Helsinki, and approved by the Ethics Committee of Tokyo Medical University (study approval no.: SH3841).

Informed consent statement
Serum samples were obtained with informed consent from the parents of all patients at the time of admission.

Conflicts of interest
The authors declare that they have no conflicts of interest associated with this study.

REFERENCES

  1. Collins PL, Graham BS (2008) Viral and host factors in human respiratory syncytial virus pathogenesis. J Virol 82(5):2040–2055. 
  2. Eisenhut M, Thorburn K, Ahmed T (2004) Transaminase levels in ventilated children with respiratory syncytial virus bronchiolitis. Intensive Care Med. 30(5):931
  3. Griffin N, Keeling JW, Tomlinson AH (1979) Reye's syndrome associated with respiratory syncytial virus infection. Arch Dis Child 54(1):74-6.
  4. Isa HM, Hasan AZ, Khalifa SI, Alhewaizem SS, Mahroofi AD, Alkhan FN, Al Beltagi M (2022) Hepatic involvement in children with acute bronchiolitis. World J Hepatol 14(10):1907-1919.
  5. Nadal D, Wunderli W, Meurmann O, Briner J, et al. (1990) Isolation of respiratory syncytial virus from liver tissue and extrahepatic biliary atresia material. Scand J Infect Dis 22(1):91-93.
  6. Chopra C, Baretto R, Duddridge M, Browning MJ (2009) T-cell immunodeficiency in CHARGE syndrome. Acta Paediatr 98(2): 408-410.
  7. Hu M, Bogoyevitch MA, Jans DA (2019) Subversion of Host Cell Mitochondria by RSV to Favor Virus Production is Dependent on Inhibition of Mitochondrial Complex I and ROS Generation. Cells 8(11):1417.
  8. Goswami R, Majumdar T, Dhar J, Chattopadhyay S, Bandyopadhyay SK, Verbovetskaya V, et al. (2013) Viral degradasome hijacks mitochondria to suppress innate immunity. Cell Res 23(8): 1025-1042.
  9. Fujiogi M, Camargo CA Jr, Raita Y, Bochkov YA, Gern JE, et al. (2020) Respiratory viruses are associated with serum metabolome among infants hospitalized for bronchiolitis: A multicenter study. Pediatr Allergy Immunol. 31(7):755-766.
  10. Hu M, Schulze KE, Ghildyal R, Henstridge DC, Kolanowski JL, et al. (2019) Respiratory syncytial virus co-opts host mitochondrial function to favour infectious virus production. Elife 8:e42448.
  11. Abbasnezhad A, Choghakhori R, Kashkooli S, Alipour M, Asbaghi O, et al. (2019) Effect of L-carnitine on liver enzymes and biochemical factors in hepatic encephalopathy: A systematic review and meta-analysis. J Gastroenterol Hepatol 34(12): 2062-2070.
  12. Abdel-Emam RA, Ali MF (2022) Effect of l-carnitine supplementation on lead acetate-induced liver cell apoptosis and inflammation: role of caspase-3 and glycogen synthase kinase-3β enzymes. Life Sci 291:120277.
TOP